Berita Kesehatan
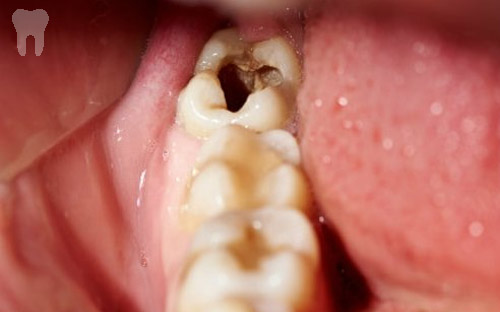
Penyebab & Gejala Gigi Berlubang Besar
Selasa, 16 Jul 2024 14:43:03

Sakit gigi memang tidak akan terasa nyaman bagi si penderita. Maka dari itu gigi sebenarnya harus dijaga kesehatannya. Salah satunya dengan rutin membersihkan gigi secara sempurna setiap harinya. Jika tidak, maka bisa jadi akan muncul Jenis Jenis Penyakit Gigi salah satunya adalah gigi akan menjadi berlubang. Mungkin pada awalnya gigi tidak akan langsung berlubang. Biasanya gigi akan mengalami keropos secara perlahan-lahan. Dan jika sudah cukup lama, gigi bisa jadi berlubang besar. Gigi berlubang besar inilah yang menjadi sumber dari permasalahan rongga mulut pada kebanyakan orang. Namun sayangnya tidak banyak orang yang menyadari bahwa gigi berlubang besar perlu ditangani agar rasa sakit itu tidak kembali datang di kemudian hari.

Penyebab

Pada dasarnya, penyebab utama gigi berlubang ada banyak, dan kesemuanya berkaitan satu sama lain. Berikut beberapa Penyebab Gigi Keropos Pada Orang Dewasa yang perlu diketahui.

  • Pola makan yang salah, yaitu yang lebih suka mengonsumsi makanan yang manis. Hal ini akan memicu perkembangan bakteri karena gula-gula yang tertempel di gigi dan tidak disikat secara sempurna akan berubah menjadi zat asam. Zat asam inilah yang bisa memicu gigi menjadi lebih mudah keropos dan berlubang (sifat korosif asam).
  • Cara menyikat gigi yang salah, yaitu jika seseorang menyikat gigi secara sembarangan, terburu-buru, atau tidak sesuai dengan tata cara yang direkomendaiskan. Selain itu pemilihan sikat gigi dan juga pasta gigi juga perlu diperhatikan agar bisa meminimalisir gigi berlubang besar.
  • Aktivitas bakteri dalam rongga mulut, yaitu beberapa jenis bakteri yang bisa meningkatkan risiko gigi berlubang. Misalnya bakteri lakcobacillus acidophilus, bakteri streptokokus, dan juga bakteri ondontomyces viscoses.
  • Adanya plak pada gigi, yaitu karang gigi yang terbentuk karena sisa makanan yang tidak terangkat secara sempurna. Karang gigi ini bisa menjadi habitat dari bakteri dan bisa juga menyebabkan gigi menjadi berlubang perlahan.
  • Faktor lainnya, seperti kebiasaan hidup yang buruk misalnya merokok atau sering mengonsumsi alkohol, serta kebiasaan kurang makan buah dan sayur.

Gejala

Pada dasarnya tanda atau gejala dari gigi berlubang besar setiap orang berbeda-beda. Namun berikut ini adalah beberapa gejala yang kerap kali terjadi, yaitu di antaranya:

  • Sakit atau nyeri pada gigi yang berlubang
  • Gigi berlubang menjadi lebih sensitif
  • Nyeri ringan hingga nyeri tajam, terutama saat mengunyah makanan atau minyman, baik yang panas atau dingin
  • Lubang besar terlihat pada gigi
  • Ada noda hitam, cokelat, atau kekuningan pada permukaan gigi

Efek Samping

Secara sekilas, mungkin sakit gigi karena gigi berlubang tidak ada kaitannya dengan kesehatan secara keseluruhan. Namun sebenarnya gigi berlubang besar itu berpengaruh juga terhadap kesehatan jangka panjang. Hal ini dikarenakan jika gigi berlubang dibiarkan saja dan tidak diatasi dengan tepat, maka abses bisa saja terjadi. Abses itu sendiri adalah suatu kondisi dimana kantong nanah tumbuh dalam gusi.

Sementara itu, gigi berlubang juga seringkali diserang bakteri sehingga sering muncul peradangan pada gusi. Gusi yang diserang bakteri ini bisa menjadi jalan masuk bakteri untuk menuju aliran darah di dalam pembuluh darah. Jika bakteri berhasil masuk, maka pembekuan darah bisa saja terjadi. Hal ini bisa mengganggu sirkulasi darah di dalam tubuh. Bahkan bahayanya bisa menyebabkan serangan jantung, jika aliran darah ke jantung terhambat karena bakteri tersebut.

Selain itu, oksigen yang berada di darah juga bisa berkurang dan tidak bisa tersebar secara sempurna ke seluruh tubuh. Jika bagian otak tidak mendapatkan oksigen yang cukup, maka bisa saja seseorang terserang stroke. Maka dari itu, jika gigi berlubang besar terasa sakit, jangan menunda untuk menghubungi dokter gigi. Hal ini juga untuk kesehatan jangka panjang Anda sendiri.

Pengobatan

Pada dasarnya, tidak ada pengobatan khusus untuk kondisi gigi berlubang besar karena permasalahan adalah dari struktur gigi yang sudah rusak. Akan tetapi, jika sakit gigi terasa, Anda bisa mengonsumsi Obat Sakit Gigi Paling Ampuh yang bisa didapatkan dengan mudah di apotek. Namun konsumsi obat-obatan tersebut tidak disarankan dalam jangka panjang atau terus menerus, karena bisa mengganggu organ lain seperti hati dan ginjal. Maka dari itu bawalah gigi berlubang tersebut ke dokter.

Dokter gigi akan memeriksa kondisi gigi berlubang tersebut dengan serangkaian tes. Kemudian gigi tersebut akan diperlakukan dengan Cara Mengobati Sakit Gigi Berlubang Besar khusus dengan beberapa alternatif, antara lain:

  • Pencabutan gigi berlubang (jika gigi berlubang sudah tidak bisa dipertahankan)
  • Penambalan gigi berlubang (jika gigi berlubang masih bisa dipertahankan dan lubangnya tidak begitu besar)
  • Perawatan saluran akar (jika gigi berlubang masih bisa dipertahankan, sementara syaraf atau bagian pulpanya sudah tidak bisa dipertahankan)

Pencegahan

Mengingat gigi berlubang besar cukup berbahaya bagi kesehatan, baik jangka pendek maupun jangka panjang, ada baiknya kita mulai sekarang melakukan beberapa langkah pencegahan. Beberapa langkah pencegahan yang bisa dilakukan antara lain sebagai berikut.

  • Mengonsumi makanan dengan gizi yang tepat, yaitu dengan menghindari makanan manis atau mengurangi kadar makanan manis agar tidak merusak gigi. Sebagai gantinya, konsumsilah banyak makanan yang banyak mengandung kalsium, fosfor, dan sejumlah vitamin yang baik untuk pembentukan gigi yang sehat. Perbanyaklah makanan buah dan sayuran.
  • Selalu jaga kebersihan mulut, yaitu dengan menyikat gigi secara rutin. Ketahui juga Cara Menyikat Gigi dengan Benar dan tepat agar sisa makanan bisa terangkat dengan sempurna. Hal ini bisa mencegah munculnya plak dan perkembangan bakteri sehingga gigi dan rongga mulut menjadi lebih sehat.
  • Mengurangi kebiasaan makan camilan, karena kebiasaan ini bisa menyebabkan gigi terus menerus diisi dengan zat-zat asam atau manis yang bisa menyebabkan gigi akan terus menerus kehilangan kekuatannya, sehingga kerusakan gigi bisa menjadi lebih parah setiap harinya.
  • Menggunakan pasta gigi dan sikat gigi yang tepat, karena tidak semua pasta gigi dan sikat gigi baik untuk gigi kita. Sebaiknya gunakan pasta gigi yang mengandung fluoride. Sedangkan untuk sikat giginya, gunakan sikat gigi yang lembut dan tidak kasar permukaannya.

Demikianlah penjelasan mengenai gigi berlubang besar, mulai dari penyebab hingga cara pencegahannya yang bisa dilakukan. Untuk lebih jelasnya mengenai kondisi gigi Anda, segera hubungi dokter gigi masing-masing. Jika ada gigi berlubang, maka tangani dengan baik agar rasa sakitnya tidak kambuh lagi. Semoga artikel ini bermanfaat.