
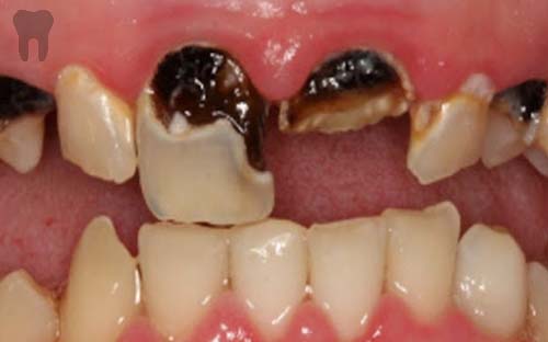
Karies adalah istilah medis dari gigi berlubang. Khususnya pada anak, ada dua jenis karies yang paling umum menghantui, yaitu karies rampan dan botol. Karies rampan dan botol sama-sama diawali dengan kemunculan area kecokelatan pada gigi yang merupakan cikal bakal perkembangan gigi berlubang.
Lalu, apa bedanya?
Karies rampan adalah masalah perlubangan gigi yang terjadi sangat cepat dan tiba-tiba, serta menyebar luas sehingga langsung mengenai pulpa (bagian tengah gigi).
Sementara itu, karies botol adalah bentuk yang lebih spesifik dari karies rampan yang terjadi pada usia tertentu.
Gigi bisa berlubang pada dasarnya akibat bakteri yang hidup di dalam mulut. Bakteri tersebut menggerogoti plak sisa-sisa makanan (terutama gula dan karbohidrat) yang menempel pada gigi dan kemudian memproduksi asam. Asam tersebutlah yang menggerogoti email gigi (bagian terluar gigi), sehingga menghasilkan lubang-lubang kecil pada gigi yang akhirnya makin membesar.
Perbedaan antara karies rampan dan botol adalah hal yang memicu kerusakannya. Pada karies rampan, gigi berlubang lebih disebabkan oleh sisa-sisa makanan yang menumpuk jadi plak pada gigi anak.
Sementara itu, karies botol atau nursing caries adalah bentuk kerusakan gigi yang dipicu oleh sisa minuman akibat anak sering tertidur saat masih menyusu (baik botol atau ASI).
Karies rampan dan botol adalah masalah gigi yang menyerang anak-anak.
Karies rampan lebih sering terjadi pada anak-anak usia di bawah lima tahun. Paling banyak ditemukan pada anak usia empat tahun. Orang dewasa juga bisa kena karies rampan.
Sementara karies botol biasanya terjadi pada anak usia 1-2 tahun yang masih menyusu (baik lewat botol, ASI, atau sippy cup)
Karies rampan ini terjadi pada gigi susu, bisa salah satu saja atau beberapa gigi sekaligus; termasuk gigi yang seharusnya kebal terhadap karies, seperti gigi seri depan bawah. Karies dikatakan rampan (rampant) karena bisa menyerang sampai 10 gigi dalam satu waktu.
Sementara itu, gigi seri depan bawah relatif lebih terlindungi dari ancaman karies botol karena tertutup dengan lidah dan terbasahi aliran liur bayi.
Ini artinya, lebih banyak gigi yang bisa rusak akibat karies rampan dibandingkan karies botol.