Berita Kesehatan
Kondisi yang Paling Sering Menyebabkan Gusi Turun
Selasa, 13 Des 2022 13:14:59

Gusi turun atau resesi gingiva merupakan kondisi ketika gusi merosot dari permukaan gigi sehingga akar gigi terlihat. Tidak seperti mahkota gigi yang kuat, akar gigi tidak terlindungi oleh lapisan email sehingga lebih sensitif dan mudah rusak. Guna mengatasi gusi yang turun, ketahui dahulu apa saja yang menjadi penyebab kondisi ini.

Berbagai faktor yang menyebabkan gusi turun

Terdapat beragam hal yang bisa menyebabkan gusi turun. Mulai dari faktor genetik, kebersihan mulut dan gigi, penyakit pada gusi atau gigi, kebiasaan yang Anda lakukan, hingga sejumlah gangguan kesehatan.

Berikut adalah beberapa penyebab gusi turun yang paling umum:

1. Kurangnya kebersihan mulut dan gigi

mencegah gigi berlubang

Apabila Anda jarang menyikat gigi atau tidak menyikat gigi dengan benar, bakteri dan mineral dalam liur dapat membentuk plak. Pada saat yang sama, bakteri dalam plak gigi akan menguraikan sisa makanan dan menghasilkan zat asam yang merusak gigi.

Plak sebenarnya bisa dibersihkan dengan cara menyikat gigi. Namun, pada gigi yang jarang disikat, plak yang menumpuk dapat mengeras membentuk tartar. Tartar yang keras lambat laun memisahkan gusi dari permukaan gigi sehingga gusi tampak turun.

2. Faktor genetik

Terkadang, orang-orang yang selalu menjaga kebersihan gigi dan mulutnya sekalipun juga dapat mengalami gusi turun. Pada kondisi seperti ini, penyebab gusi turun bisa jadi berasal dari faktor genetik sehingga lebih sulit diatasi.

Gen tertentu yang diwariskan dari keluarga mungkin saja memengaruhi posisi gigi atau ketebalan gusi Anda. Melansir American Dental Association, sejumlah orang bahkan mewarisi gusi yang tipis atau lemah sehingga mudah merosot dari permukaan gigi.

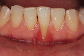
3. Gingivitis dan periodontitis

Periodontitis

Gingivitis adalah peradangan pada gusi yang umumnya disebabkan oleh penumpukan plak gigi. Gingivitis sebenarnya tidak bersifat merusak. Namun, peradangan gusi yang parah dan tidak lekas ditangani dapat berkembang menjadi periodontitis.

Periodontitis merupakan penyebab gusi turun yang cukup umum. Selain turun dari gigi, gusi penderita biasanya juga tampak bengkak, memerah, berdarah, dan nyeri. Tanpa penanganan medis, penyakit ini bisa mengakibatkan gigi renggang atau bahkan copot.

4. Kebiasaan menggemeretakkan gigi

Beberapa orang terkadang menggemeretakkan gigi ketika tidur. Kebiasaan ini memberikan tekanan berlebih pada gusi. Dampak jangka panjang yang bisa timbul antara lain gusi turun, gigi memendek, gigi sensitif, gigi copot, hingga masalah persendian rahang.

Kebiasaan ini juga dapat melonggarkan gigi dari tempatnya. Akibatnya, terbentuk ruang kecil di antara gigi dan gusi. Jika bakteri memasuki ruang tersebut, gusi akan mengalami infeksi dan peradangan sehingga memperparah kondisi gusi yang turun.

5. Cara menyikat gigi yang salah

Menyikat gigi memang penting untuk menjaga kebersihan gigi dan mulut. Akan tetapi, cara menyikat gigi yang salah justru dapat merusak area pertemuan antara gigi dan gusi sehingga menjadi penyebab gusi turun.

Kesalahan menyikat gigi yang paling sering dilakukan antara lain menyikat terlalu keras, menyikat gigi dengan arah lurus, serta tidak menggunakan sikat gigi berbulu halus. Kebiasaan ini tidak hanya akan merusak gusi, tapi juga memicu luka dan peradangan.

Ada banyak faktor yang menyebabkan gusi turun. Faktor genetik mungkin sulit dicegah, tapi Anda dapat mengantisipasi sisanya dengan menjaga kebersihan mulut dan gigi. Jangan lupa, lakukan kunjungan rutin ke dokter gigi untuk memantau kesehatan gigi dan gusi Anda.