
Gusi berfungsi sebagai pelindung akar gigi dan tulang rahang. Oleh karena itu, kesehatan gusi harus senantiasa terjaga. Sayangnya, gusi cukup rentan terkena penyakit, salah satunya adalah kanker. Seperti apa gejala dan pengobatan untuk kanker gusi? Simak ulasan lengkapnya berikut ini.
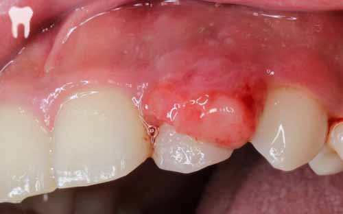
Kanker gusi adalah kondisi adanya pertumbuhan sel-sel kanker yang menyerang jaringan pada gusi. Jenis kanker ini merupakan bagian dari kanker mulut.
Penyakit ini terjadi ketika sel-sel pada bagian atas atau bawah gusi berkembang dan berlipat ganda secara tidak terkendali. Akibatnya, sel-sel tersebut menumpuk dan membentuk luka atau tumor.
Banyak orang yang awalnya sering kali salah mengartikan penyakit ini dengan gingivitis, yaitu peradangan dan pembengkakan pada gusi. Hal ini disebabkan gejala yang ditunjukkan kedua penyakit tersebut memang mirip.
Apabila tidak segera ditangani, kanker bisa berpotensi membahayakan nyawa pasien. Oleh sebab itu, penting bagi setiap orang untuk mendeteksi dan mengenali gejalanya serta memeriksakan diri ke dokter sesegera mungkin.
Kanker gusi, yang merupakan bagian dari kanker mulut, tergolong kasus langka. Menurut laman National Institute of Dental and Craniofacial Research, hanya sebanyak 10,5 dari 100.000 orang dewasa berisiko terkena kanker mulut.
Selain itu, kanker jenis ini lebih banyak menyerang pasien berjenis kelamin pria dibanding dengan wanita. Peluang untuk terkena kanker juga meningkat seiring dengan bertambahnya usia.
Hampir seluruh jenis kanker mulut, termasuk yang terjadi pada gusi, tergolong dalam jenis karsinoma sel skuamosa, yaitu sel yang letaknya paling dekat dengan permukaan kulit. Hanya sedikit kasus kanker gusi tergolong dalam jenis kanker yang lebih langka, yaitu karsinoma verukosa.
Tanda dan gejala kanker gusi umumnya tidak langsung terlihat ketika penyakit berada dalam stadium awal. Kondisi ini menyebabkan penyakit cukup sulit untuk dideteksi. Namun ada sejumlah gejala yang bisa Anda waspadai seperti berikut ini:
Tidak semua orang mengalami gejala kanker yang serupa. Ada kemungkinan sebagian orang akan mengalami gejala lain yang belum disebutkan di atas.
Gejala kanker ini memang serupa dengan gangguan mulut dan gigi lainnya. Namun, tidak ada salahnya jika Anda merasa curiga dan segera memeriksakan diri ke dokter. Pasalnya, diagnosis dan pengobatan yang dilakukan sedini mungkin akan memperbesar peluang Anda untuk sembuh dari kanker.
Penyebab kanker adalah terjadinya mutasi atau kelainan pada DNA di dalam sel. Dalam kasus kanker gusi, mutasi DNA ditemukan pada sel-sel di dalam gusi.
Pada sel-sel tubuh, DNA memberikan instruksi agar sel dapat berfungsi dengan baik dan benar. Namun, mutasi menyebabkan terjadinya gangguan pada DNA dalam menyampaikan instruksi. Akibatnya, sel-sel tidak dapat berfungsi sebagaimana mestinya.
Dalam kondisi normal, seharusnya sel-sel tubuh akan berlipat ganda dan mati. Namun, sel yang bermutasi akan tumbuh dan berlipat ganda secara tidak terkendali. Penumpukan sel yang berlebihan ini akan mengakibatkan munculnya tumor pada gusi yang dapat berkembang menjadi kanker.
Hingga saat ini, belum diketahui secara pasti apa penyebab terjadinya mutasi pada DNA sel gusi. Meski demikian, para ahli telah mencari tahu apa saja faktor yang meningkatkan risiko munculnya sel kanker pada tubuh.
Faktor risiko adalah sekelompok kondisi dan kebiasaan yang dapat menambah peluang seseorang untuk terkena suatu penyakit atau kondisi medis. Dalam kasus kanker gusi, terdapat beberapa faktor yang bisa meningkatkan risiko Anda mengalaminya seperti di bawah ini.
Dalam proses mendiagnosis kanker, dokter akan melakukan pemeriksaan fisik secara menyeluruh.
Jika terdapat bagian gusi yang diduga sebagai sel kanker, dokter akan mengambil sedikit jaringan dari gusi Anda dengan metode biopsi. Sampel jaringan tersebut akan diperiksa di laboratorium untuk mengetahui adanya sel kanker atau tidak.
Apabila dokter sudah memastikan bahwa jaringan tersebut terdampak oleh sel kanker, dokter perlu melakukan tes kesehatan lain untuk menentukan stadium kanker. Tes tersebut biasanya meliputi:
Jenis pengobatan akan bergantung pada stadium kanker serta kondisi kesehatan Anda secara keseluruhan. Anda mungkin akan menjalani gabungan dari beberapa jenis pengobatan kanker.
Tujuan dari pengobatan secara keseluruhan adalah untuk membunuh sel-sel kanker, menjaga fungsi mulut dan gusi, serta mencegah kanker kembali muncul di lain waktu.
Pilihan pengobatan yang tersedia adalah kemoterapi, radioterapi, serta operasi. Berikut adalah pilihan jenis operasi untuk penyakit ini:
Beberapa orang mungkin hanya perlu menjalani kemoterapi atau radioterapi saja. Namun, jika operasi perlu dijalankan, prosedur tersebut akan digabungkan dengan kemoterapi atau radioterapi sebelum maupun sesudah operasi.
Tidak ada satu cara yang sudah pasti bisa mencegah kanker. Namun, Anda dapat menurunkan risiko terkena kanker dengan cara-cara seperti di bawah ini.
Apabila Anda perokok aktif, cobalah untuk mengurangi frekuensi merokok secara perlahan hingga akhirnya berhenti sama sekali. Jika mengalami kesulitan untuk berhenti, Anda bisa meminta bantuan orang-orang terdekat untuk mengingatkan Anda.
Asupan alkohol yang melebihi batas wajar dapat merusak sel-sel di dalam mulut sehingga Anda lebih rentan terkena berbagai penyakit. Jika Anda masih tetap ingin minum alkohol, pastikan Anda tidak minum lebih dari 1-2 gelas sehari.
Anda dapat mencoba memakai topi atau masker ketika sedang beraktivitas di bawah sinar matahari dalam waktu lama. Bila perlu, gunakan produk bibir seperti lip balm yang dilengkapi dengan SPF untuk melindungi bibir Anda.
Sebagai upaya menjaga kesehatan gigi dan mulut, pastikan Anda rutin kontrol ke dokter gigi setiap 6 bulan sekali. Hal ini penting untuk memastikan adanya gejala-gejala tak biasa di mulut Anda yang berpotensi berkembang menjadi kanker.