
Tumor paru adalah benjolan tidak normal yang tumbuh di dalam jaringan paru-paru. Tumor paru bisa bersifat jinak atau ganas. Kondisi ini perlu dideteksi sejak dini agar dapat segera diobati. Dengan begitu, peluang untuk sembuh makin tinggi.
Tumor paru dapat berasal dari jaringan di dalam paru-paru atau saluran pernapasan yang menuju ke paru-paru. Pada tumor paru jinak, umumnya sel-sel tumor tumbuh secara lambat dan tidak menyebar ke jaringan maupun organ-organ tubuh lain.
Sementara itu, tumor paru ganas (kanker paru-paru) dapat tumbuh dengan cepat dan menyebar (metastasis) ke kelenjar getah bening atau organ lain, seperti otak dan hati (liver).
Tumor paru umumnya terjadi ketika sel-sel pada paru-paru mengalami perubahan (mutasi) sehingga tumbuh tidak terkendali dan dapat merusak sel-sel yang sehat. Belum diketahui secara pasti penyebab perubahan pada sel-sel tersebut.
Seperti yang disebutkan sebelumnya, tumor paru bisa bersifat jinak atau ganas. Berikut ini adalah penjelasan dari masing-masing jenis tumor paru tersebut:
Berikut ini adalah beberapa jenis tumor paru jinak dan penyebab yang mendasarinya:
Selain kondisi di atas, ada beberapa jenis tumor paru jinak yang terbentuk dari jaringan lemak atau jaringan ikat pada paru-paru, seperti chondroma, fibroma, neurofibroma, dan lipoma.
Tumor paru ganas atau kanker paru-paru umumnya dibagi dalam dua jenis, yaitu kanker paru small cell dan nonsmall cell. Berikut adalah penjelasannya:
Ada faktor-faktor yang diduga dapat meningkatkan risiko terjadinya tumor paru, yaitu:
Tumor paru jinak umumnya tidak bergejala. Akibatnya, tumor paru terkadang baru diketahui ketika penderita menjalani foto Rontgen dada untuk pemeriksaan kondisi lain. Namun, tumor jinak dapat menyebabkan gejala jika ukurannya sudah besar dan menyumbat saluran pernapasan.
Gejala yang bisa terjadi akibat tumor jinak antara lain:
Sementara itu, tumor paru ganas bisa menyebabkan berbagai keluhan berikut:
Gejala tumor paru jinak dan ganas bisa mirip. Oleh karena itu, periksakan diri ke dokter jika Anda mengalami keluhan seperti yang telah disebutkan di atas. Pemeriksaan perlu dilakukan agar keberadaan tumor dapat segera terdeteksi dan bisa ditangani secepatnya.
Jangan tunda ke dokter jika muncul keluhan-keluhan berikut:
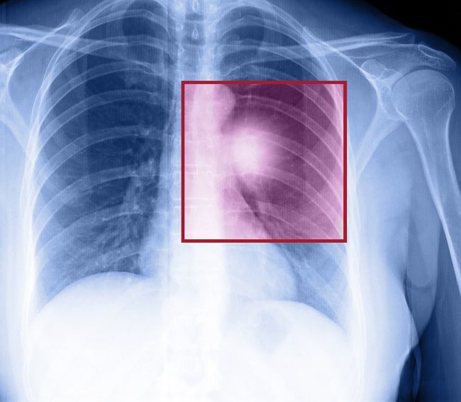
Diagnosis tumor paru dilakukan dengan menanyakan gejala, riwayat kesehatan pasien dan keluarga, serta gaya hidup pasien. Setelah itu, dokter akan melakukan pemeriksaan fisik, terutama pada dada.
Untuk menetapkan diagnosis, dokter akan melakukan pemeriksaan lanjutan di bawah ini:
Pemeriksaan di atas dapat membedakan tumor yang jinak atau ganas. Dari foto, tumor yang jinak biasanya berukuran kecil, memiliki bentuk dengan batas yang halus pada hasil foto, dan tidak berkembang dengan cepat ketika dilakukan pemeriksaan lanjutan.
Pengobatan tumor paru akan disesuaikan dengan kondisi pasien, serta jenis dan ukuran tumor yang tumbuh. Tumor paru yang jinak dan berukuran kecil dapat langsung diangkat pada saat biopsi.
Sementara itu, tumor jinak yang berukuran lebih besar dapat ditangani dengan operasi. Operasi untuk mengangkat tumor jinak dapat dilakukan dengan operasi terbuka atau dengan operasi endoskopi.
Pada tumor paru ganas, beberapa metode pengobatan yang dapat dilakukan dokter adalah:
Operasi bisa dilakukan bila tumor yang tumbuh hanya satu dan belum menyebar keluar organ paru. Pada prosedur ini, jaringan sehat di sekitar tumor juga perlu diangkat untuk mencegah terjadinya penyebaran sel-sel tumor.
Pada beberapa kasus, tumor paru ditangani dengan mengangkat seluruh sisi paru yang terkena tumor.
Kemoterapi adalah pemberian obat-obatan yang dapat membunuh sel kanker dan menghambat pertumbuhannya. Biasanya, kemoterapi digunakan untuk tumor paru ganas yang sudah menyebar.
Kemoterapi juga dapat digunakan sebagai terapi pendukung untuk dikombinasikan dengan operasi atau radioterapi. Kemoterapi dapat membantu mengecilkan tumor agar lebih mudah diangkat saat operasi, atau memastikan tidak ada sel kanker yang tersisa setelah operasi.
Radioterapi atau terapi radiasi dilakukan dengan memancarkan sinar-X untuk membunuh sel-sel tumor paru ganas. Radioterapi dapat dikombinasikan dengan operasi atau kemoterapi.
Terapi target bekerja secara spesifik menghentikan cara kerja sel kanker yang membuatnya tumbuh tak terkendali. Namun, tidak semua penderita tumor paru ganas bisa menjalani pengobatan ini. Perlu dilakukan tes terlebih dahulu untuk mengetahui apakah jenis sel kanker pada pasien dapat dilawan dengan terapi target. Contoh obat yang digunakan dalam terapi target adalah brigatinib dan alectinib.
Jika tidak diobati, tumor paru jinak yang berukuran cukup besar dan terletak di dalam atau dekat pipa saluran pernapasan dapat menyumbat saluran pernapasan. Akibatnya, bisa timbul beberapa komplikasi berikut:
Sementara itu, tumor paru ganas dapat menyebabkan komplikasi berupa:
Mengingat penyebab tumor paru belum diketahui secara pasti, cara terbaik untuk mencegah penyakit ini adalah dengan menjalani pola hidup sehat dan menghindari faktor risiko kanker. Beberapa cara yang dapat dilakukan meliputi: