
Abrasi gigi terjadi ketika lapisan pelindung gigi (enamel) terkikis. Kondisi ini bisa membuat gigi menjadi sensitif dan nyeri, sehingga harus diatasi dengan cara yang tepat.
Abrasi gigi seringkali membuat penderitanya merasa tidak nyaman. Hal ini karena gigi yang enamelnya sudah terkikis akan menjadi sangat sensitif sehingga menimbulkan rasa nyeri dan ngilu. Tanpa penanganan yang tepat dari dokter gigi, abrasi pada gigi bisa menjadi masalah yang sangat serius.
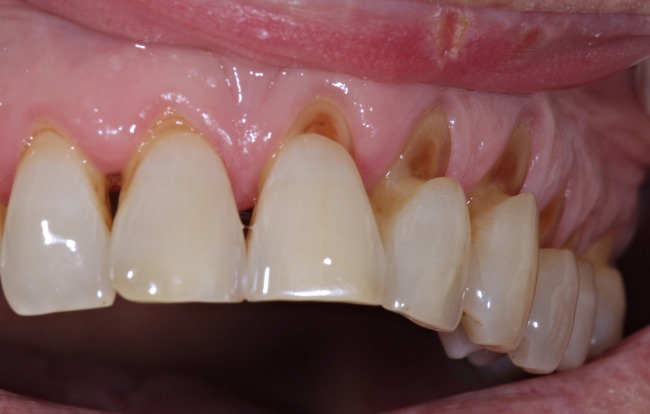
Abrasi gigi dapat membuat bentuk gigi yang menjadi tidak rata. Selain itu, gigi yang mengalami abrasi akan menunjukkan perubahan warna, seperti menguning, yang disebabkan oleh lapisan enamel dan dentin yang menipis. Kondisi ini juga sering ditandai dengan rasa nyeri dan sensitif saat makan dan minum.
Abrasi pada gigi sering kali disebabkan oleh faktor yang tidak disengaja karena kurangnya pemahaman dalam menjaga kesehatan gigi dan mulut. Berikut ini adalah beberapa penyebab abrasi pada gigi:
Faktor pertama yang menyebabkan abrasi gigi adalah salah memilih sikat gigi dan pasta gigi. Menggunakan sikat gigi dengan bulu kasar dapat mengikis enamel gigi secara perlahan. Selain itu, terlalu sering memakai pasta gigi yang mengandung pemutih lambat laun juga akan membuat gigi kehilangan enamelnya.
Faktor selanjutnya yang bisa menyebabkan abrasi pada gigi adalah salah teknik dalam menyikat gigi. Menyikat gigi terlalu keras sangat tidak disarankan karena bisa mengikis lapisan enamel yang berfungsi untuk melindungi gigi. Selain bisa mengikis enamel, menyikat gigi terlalu keras juga bisa membuat gusi terluka.
Ketika Anda merasa bosan, secara sadar atau tidak sadar pasti pernah menggigit ujung pulpen, pensil, dan benda keras lainnya. Kebiasaan buruk ini ternyata dapat menyebabkan abrasi pada gigi. Hal ini karena gesekan dan tekanan dari benda keras bisa mengikis enamel secara perlahan.
Selain abrasi, kebiasaan buruk ini juga dapat mengakibatkan kerusakan serius pada gigi, seperti gigi bergeser, patah, dan retak. Masalah ini juga sering ditemukan pada orang yang sering mengunyah es batu dan menggigit kuku tangan.
Kebiasaan menggesek gigi atas dan bawah (bruxism) juga bisa membuat gigi kehilangan enamelnya. Bruxism sering dilakukan secara sadar maupun tidak sadar, terutama ketika Anda sedang tertidur.
Produk perawatan gigi, seperti kawat gigi dan retainer, dapat menyebabkan abrasi pada gigi. Hal ini dikarenakan adanya gesekan antara gigi dengan alat ortodontik tersebut yang sangat sering.
Maka dari itu, sebelum menggunakan alat ortodontik, Anda diharuskan berkonsultasi dengan dokter gigi agar bisa mendapatkan penanganan dan perawatan yang tepat.
Jika sudah terlanjur menggunakan alat ortodontik, Anda harus menjaga kebersihan dan kesehatan gigi dan mulut secara rutin serta pergi ke dokter gigi agar bisa mengurangi risiko terkena abrasi gigi.
Penyebab abrasi pada gigi dapat juga disebabkan karena makanan yang biasa Anda makan sehari-hari. Makanan yang dapat menyebabkan abrasi adalah makanan yang memiliki tekstur yang keras dan asam yang tinggi.
Selain itu, mengonsumsi minuman bersoda, alkohol, dan minuman yang asam juga bisa membuat enamel gigi menjadi terkikis.
Merokok bisa menjadi salah satu penyebab abrasi pada gigi. Hal ini dikarenakan rokok mengandung zat-zat seperti nikotin dan tar yang akan menumpuk dan menjadi plak pada gigi dan menyebabkan kerusakan gigi, salah satunya pengikisan enamel gigi.
Jika mengalami tanda-tanda abrasi gigi, Anda dapat melakukan berbagai cara sederhana di rumah untuk mengatasinya. Berikut ini adalah cara mengatasi abrasi pada gigi dengan benar:
Cara mengatasi atau mencegah abrasi gigi adalah dengan memperbaiki gaya menyikat gigi. Abrasi pada gigi sering kali terjadi karena gaya menyikat yang cenderung kasar.
Selain bisa membuat gigi abrasi, menyikat gigi terlalu kasar bisa menyebabkan gusi berdarah, meningkatkan risiko terjadinya karies, gusi terkikis, dan membuat gigi jadi sensitif. Agar gigi Anda selalu sehat, ikutilah cara menyikat gigi yang tepat berikut ini:
Cara mengatasi abrasi pada gigi selanjutnya adalah dengan menggunakan pasta gigi yang memiliki kandungan fluoride. Fluoride membantu melindungi gigi dengan cara memperkuat enamel supaya tahan terhadap asam dan faktor lain yang menyebabkan abrasi.
Kebiasaan menggigit benda keras dapat menyebabkan kerusakan pada gigi yang mengakibatkan enamel terkikis. Sebagai alternatif, Anda bisa mengunyah permen karet bebas gula sebagai. Permen karet bebas gula memiliki manfaat untuk merangsang produksi air liur dan menetralkan asam di mulut.
Menghindari makanan dan minuman yang dapat mengikis enamel gigi sangat penting dilakukan jika Anda tidak ingin mengalami gigi abrasi. Adapun makanan dan minuman yang bisa membantu Anda untuk memperkuat dan melindungi gigi antara lain adalah coklat hitam, kacang almond, bawang putih, keju, ikan salmon, yogurt, serta buah dan sayur.
Penggunaan alat pelindung gigi atau mouthguard bisa membantu Anda terhindar dari abrasi pada gigi. Alat pelindung ini mampu melindungi gigi Anda dari kebiasaan buruk yang bisa menyebabkan abrasi, seperti bruxism, menggigit benda keras, dan benturan.
Untuk mendapatkan alat pelindung ini, Anda diharuskan datang ke dokter gigi. Dokter gigi akan mencetak alat pelindung gigi yang sesuai dengan kondisi dan bentuk gigi Anda.
Veneer bukan solusi utama untuk mencegah abrasi pada gigi, tetapi bisa menjadi solusi untuk memperbaiki gigi yang sudah rusak akibat abrasi, sekaligus melindungi enamel gigi yang masih tersisa.
Untuk mendapatkan veneer, Anda diharuskan pergi ke dokter gigi untuk bisa dilakukan penanganan sesuai dengan kondisi gigi Anda.
Mahkota gigi adalah langkah akhir yang bisa dilakukan jika gigi Anda sudah terkikis parah. Dokter gigi akan menilai kondisi gigi Anda dan jika dirasa gigi sudah abrasi terlalu parah, dokter akan menawarkan pemasangan mahkota gigi.
Proses pembuatan mahkota gigi akan memakan waktu sekitar 2 minggu. Selama menunggu proses pembuatan, dokter akan memasangkan mahkota gigi sementara yang nantinya akan diganti dengan yang permanen.
Supaya bisa terhindar dari abrasi gigi, Anda juga sebaiknya kontrol rutin ke dokter gigi setiap 6 bulan sekali atau sesuai dengan kebutuhan. Dokter gigi akan memeriksa gigi Anda dan akan memberitahukan perawatan apa yang sekiranya Anda butuhkan.
Perlu Anda ketahui, bahwa abrasi gigi merupakan kondisi medis yang umum terjadi. Namun, kondisi ini sebenarnya bisa dicegah dengan menjaga kesehatan gigi dan mulut.
Jika Anda mengalami masalah seperti gigi sensitif, berlubang, menguning, dan terkikis, jangan ragu untuk berkonsultasi dengan dokter agar bisa mendapatkan penangan yang tepat dan sesuai dengan kebutuhan. Jika diperlukan, dokter gigi akan mengarahkan Anda untuk melakukan pemeriksaan selanjutnya.