
Operasi amandel (tonsilektomi) adalah prosedur untuk mengangkat amandel. Dokter dapat melakukan tindakan ini menggunakan pisau bedah atau dengan bedah laser.
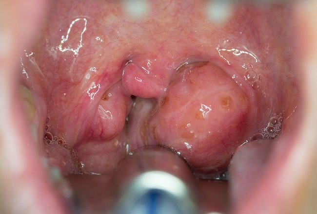
Amandel (tonsil) adalah dua kelenjar kecil yang masing-masing berada di sisi kiri dan kanan tenggorokan. Amandel berfungsi untuk mencegah infeksi, walau terkadang kelenjar ini juga bisa terinfeksi.
Operasi amandel umumnya dilakukan untuk mengatasi radang amandel (tonsilitis) atau pembengkakan pada amandel. Perlu diketahui, tonsilektomi tidak akan meningkatkan risiko seseorang terserang infeksi.
Tujuan utama operasi amandel adalah untuk mengobati radang amandel yang telah berlangsung lama (kronis), sering kambuh, menimbulkan kejang demam, dan tidak sembuh dengan antibiotik.
Selain radang amandel, operasi amandel juga dapat dilakukan untuk mengatasi beberapa kondisi berikut:
Sebelum menjalani operasi amandel, beri tahu dokter mengenai obat, produk herbal, atau suplemen, yang sedang dikonsumsi. Pasalnya, penggunaan obat atau suplemen tertentu dikhawatirkan bisa menghambat proses operasi.
Perlu diketahui, operasi amandel tidak disarankan kepada pasien dengan kondisi berikut:
Pasien perlu berkonsultasi dengan dokter sebelum menjalani operasi amandel. Pada sesi konsultasi, dokter akan menanyakan jenis obat apa saja yang sedang digunakan, terutama aspirin, ibuprofen, dan naproxen.
Dokter juga akan bertanya apakah pasien atau keluarganya memiliki riwayat gangguan pembekuan darah, dan riwayat alergi pada obat bius atau obat-obatan lain.
Setelah sesi konsultasi, dokter akan menyarankan pasien melakukan beberapa hal berikut:
Dokter akan mengawali operasi amandel dengan pemberian bius total. Hal ini agar pasien tertidur dan tidak merasakan sakit selama operasi. Setelah obat bius bekerja, dokter akan membuka mulut pasien untuk mengangkat amandel.
Pengangkatan amandel bisa dilakukan dengan berbagai teknik, antara lain:
Keseluruhan proses operasi amandel berlangsung sekitar 20–30 menit. Setelah itu, pasien akan dibawa ke ruang pemulihan.
Setelah menjalani operasi amandel, pasien akan ditempatkan di ruang pemantauan hingga efek obat bius menghilang. Dokter juga akan memantau tekanan darah dan detak jantung pasien secara berkala.
Umumnya, pasien diperbolehkan untuk pulang ke rumah pada hari yang sama jika kondisinya sudah stabil. Namun, pada beberapa kasus, pasien perlu menjalani rawat inap sampai benar-benar pulih.
Perlu diketahui, pasien mungkin mengalami sejumlah gejala setelah operasi, tetapi hal ini normal. Gejala tersebut bisa berlangsung sampai beberapa minggu. Berikut adalah gejala yang dapat muncul usai operasi amandel:
Untuk meredakan gejala tersebut, dokter akan menyarankan pasien melakukan upaya berikut:
Operasi amandel aman untuk dijalani. Kendati demikian, prosedur ini tetap berisiko menimbulkan komplikasi, antara lain:
Segera ke dokter jika mengalami gejala-gejala berikut setelah menjalani operasi amandel: