Berita Kesehatan
Utility of Diaphragm Dome Height as a Marker of Operational Lung Volume Changes, Disease Burden and Exacerbations in Patients with Mild-to-Moderate COPD: An Observational Study Within the CanCOLD Cohort
Jumat, 17 Jan 2025 14:56:13
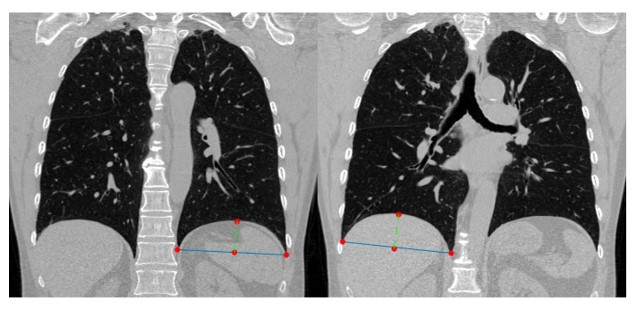
Abstract Background Dynamic hyperinflation is central to dyspnoea, exercise limitation, and exacerbations in chronic obstructive pulmonary disease (COPD). While studied previously in moderate-severe COPD, the relevance of diaphragm dome height on clinically important outcomes has been under-investigated in mild-to-moderate COPD. Methods Canadian Cohort Obstructive Lung Disease participants with spirometry-confirmed COPD, symptom-limited incremental cardiopulmonary exercise testing, and computed tomography image data were included. Base-to-apex left and right diaphragm dome height (DDH) was automatically segmented, with increased height implying less flattening and thus less hyperinflation. Dynamic hyperinflation was defined as ?150?mL reduction in inspiratory capacity (IC) from rest to peak-exercise. Cross-sectional linear regression models were fitted between left and right DDH (predictor variables) with peak IC (ICpeak), peak workload (Wpeak), FEV1, and CAT score (outcome variables), and in longitudinal (Anderson-Gill) models with “symptom-based” and “event-based” exacerbations. Results are reported as parameter estimates or hazard ratios with 95%CIs per interquartile range dome height increment. Results Among 304 participants (mean age 64.7±10.3, 41.8% female, 44.4% with mild COPD), each left and right DDH increment, respectively, was associated with ICpeak (0.21[0.13,0.29]L, 0.13[0.07,0.19]L), Wpeak (9.54[5.03,14.04]W, 6.04[2.45,9.62]W), FEV1 (0.17[0.10,0.25]L, 0.08[0.02,0.14]L), and CAT score (?1.36[?2.39,?0.33], ?0.82[?1.63,0.00]). Left DDH alone was associated with both symptom-based (HR: 0.82[0.74,0.91]) and event-based (0.83[0.73,0.95]) exacerbations. Of 167/304 participants with confirmed dynamic hyperinflation (?IC=?0.47±0.25?L), left DDH alone was associated with all outcomes (ICpeak, Wpeak, FEV1, CAT, and symptom-based/event-based exacerbations). Conclusions Left DDH appears to be a clinically important marker for operational lung volume changes, lung function, exercise performance, disease burden, and exacerbations in mild-to-moderate COPD.