Berita Kesehatan
Bilateral spontaneous pneumothorax in a patient with rheumatoid arthritis and accelerated nodulosis
Sabtu, 21 Des 2024 09:37:22

A 30-year-old woman presented with acute shortness of breath and pleuritic chest pain to the Accident and Emergency Department. She was a never-smoker with a background of seropositive non-erosive rheumatoid arthritis (RA) diagnosed in 2014. At diagnosis, her anti-cyclic citrullinated peptide (CCP) levels were 261?units·mL?1 and rheumatoid factor (RF) was 30?IU·mL?1. She was managed with disease-modifying antirheumatic drugs, such as hydroxychloroquine and methotrexate, for 3?years until 2017. In 2017, methotrexate was replaced by leflunomide due to a poor response and nausea. She remained on leflunomide for another 3?years and it was then stopped in 2019 in view of pregnancy planning. In 2019 subcutaneous certolizumab was added on to her treatment and she had been on certolizumab for 18?months at the time of presentation.

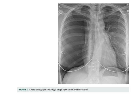
Her chest radiograph (CXR) on presentation showed a large right-sided pneumothorax (figure 1). She had a normal pulse, blood pressure, respiratory rate and oxygen saturations on air at rest. However, simple exertion such as walking a few steps made her very breathless. As per established local guidance, she was offered the choice between conservative management, admission with chest drain insertion or ambulatory management with either a 12 French gauge (FG) Seldinger chest drain (which would be connected to an ambulatory bag) or an 8FG Rocket Pleural Vent. Northumbria Healthcare NHS Trust has a well-established ambulatory pneumothorax service [1]. The ambulatory devices are inserted by Accident and Emergency Department practitioners and the subsequent management takes place on the Medical Ambulatory Care unit by acute medicine physicians, with the respiratory team getting involved in case of complications or non-resolution. With the premise that this was a primary pneumothorax (as the patient had no apparent lung disease), and because the priority of the patient was admission avoidance, she was seen by the pleural team and ambulatory management was initiated with an 8FG Rocket Pleural Vent.