
Polip pulpa adalah salah satu masalah gigi yang sering muncul pada gigi patah atau berlubang. Penyakit ini dapat menyebabkan komplikasi serius jika tidak segera ditangani. Apa penyebab polip gigi ini? Bagaimana cara mengobatinya?
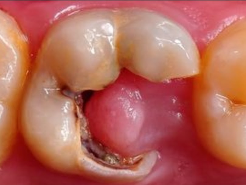
Polip pulpa atau pulpitis hiperplastik adalah pembengkakan jaringan pulpa pada gigi berlubang sebagai reaksi terhadap iritasi akibat pembusukan gigi.
Umumnya, pembusukan gigi membuat pulpa gigi mati. Pulpa merupakan jaringan ikat yang terdapat pada bagian tengah gigi, tepat di bawah lapisan dentin gigi.
Namun, kondisi ini menyebabkan hal sebaliknya karena iritasi malah membuat jaringan pulpa terus tumbuh.
Pulpitis hiperplastik merupakan bentuk pulpitis irreversibel. Ini berarti ketika Anda mengalaminya, jaringan pulpa tidak dapat pulih kembali meskipun penyebabnya dihilangkan.
Polip pulpa disebabkan oleh iritasi atau infeksi bakteri pada pulpa gigi yang mengalami kerusakan. Selain itu, berikut beberapa kondisi lain turut berperan dalam pembentukan polip gigi.
Jika Anda mengalami kondisi-kondisi di atas, segera konsultasikan dengan dokter. Penanganan sedini mungkin membantu mencegah kondisi bertambah parah.
Pulpitis hiperplastik tidak selalu memiliki gejala. Meski begitu, berikut beberapa kondisi dapat menjadi tanda polip pulpa.
Kondisi di atas bisa saja disebabkan oleh masalah gigi lainnya. Untuk mencari tahu kondisi yang mendasarinya, Anda sebaiknya berkonsultasi dengan dokter.
Polip pulpa harus segera mendapatkan penanganan medis. Jika tidak segera diobati, penyakit ini dapat mengakibatkan sejumlah komplikasi.
Berikut berbagai komplikasi yang berpotensi muncul akibat pulpitis hiperplastik.
Melihat komplikasi yang mungkin ditimbulkan, tak ada salahnya untuk mengobati penyakit gigi ini sesegera mungkin. Dengan begitu, risiko komplikasi yang lebih parah dapat Anda hindari.
Pulpitis hiperplastik tidak bisa sembuh dengan sendirinya. Jika dibiarkan begitu saja, penyakit gigi ini malah dapat memicu sejumlah komplikasi seperti yang telah disebutkan sebelumnya.
Beberapa tindakan bisa Anda lakukan untuk mengatasi polip pulpa. Cara mengatasi pulpitis hiperplastik bisa dilakukan dengan tindakan medis atau mengonsumsi obat sesuai resep dokter.
Perawatan saluran akar gigi atau root canal treatment dilakukan dengan mengangkat pulpa yang terinfeksi. Tujuan dari prosedur ini mencegah penyebaran infeksi ke gigi lain.
Pulpotomi merupakan cara mengatasi pulpitis hiperplastik dengan cara mengangkat jaringan pulpa. Tindakan ini biasanya dilakukan ketika bagian pulpa koronal terpengaruh.
Meski disebabkan oleh infeksi bakteri, obat antibiotik tidak sepenuhnya dapat mengobati pulpitis hiperplastik. Namun, dokter mungkin akan meresepkan pasta antibiotik ke lubang gigi yang terinfeksi.
Pasta antibiotik biasanya akan diberikan pada proses revaskularisasi gigi. Revaskularisasi merupakan metode perawatan untuk gigi yang belum terbentuk sempurna.
Jika Anda mencari cara selain tindakan medis, hingga saat ini belum ada cara mengobati polip pulpa secara alami. Segera konsultasi ke dokter untuk memperoleh pengobatan yang tepat.
Cara mencegah pulpitis hiperplastik bisa dilakukan dengan menjaga kesehatan gigi dan mulut. Dengan begitu, risiko terjadinya gigi berlubang atau patah, yang menjadi tempat munculnya polip, berkurang.
Berikut cara mencegah polip pulpa dengan menjaga kesehatan gigi.
Tindakan-tindakan di atas tidak sepenuhnya menghindarkan Anda dari pulpitis hiperplastik. Meski begitu, risiko polip gigi setidaknya akan berkurang dengan menjaga gigi tetap sehat.