Berita Kesehatan
Natural decline in pulmonary function following bilateral lung transplantation: a single-center study
Sabtu, 03 Sep 2022 12:44:44

Geert M. Verleden, Robin Vos, Laurent Godinas, Stijn E. Verleden, Dirk E. Van Raemdonck, Laurens J. Ceulemans

European Respiratory Journal 2022; DOI: 10.1183/13993003.00633-2022

Extract

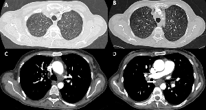
Lung transplantation is an established treatment option for well-selected patients with end-stage pulmonary disease, when other therapeutic options are no longer available. Although the post-transplant survival has much improved in recent years, the development of chronic lung allograft dysfunction (CLAD), which affects 40–50% of all patients by 5 years post-transplant, remains the major cause of morbidity and mortality [1]. CLAD is defined by a progressive and persistent decline in the forced expiratory volume in the first second (FEV1) of at least 20% compared to the postoperative best value. Several different phenotypes of CLAD have been identified, based on the physiology of the lung function decline, such as obstructive (bronchiolitis obliterans syndrome, BOS), restrictive (restrictive allograft syndrome) or a combination (mixed phenotype), along with the presence or absence of persistent opacities on chest imaging [2, 3].

Footnotes

This manuscript has recently been accepted for publication in the European Respiratory Journal. It is published here in its accepted form prior to copyediting and typesetting by our production team. After these production processes are complete and the authors have approved the resulting proofs, the article will move to the latest issue of the ERJ online. Please open or download the PDF to view this article.

Conflict of Interest: Geert Verleden reports participation on advisory boards for Zambon CLAD and cGVHD, outside the submitted work. All other authors have nothing to disclose.

  • Received March 25, 2022.
  • Accepted August 11, 2022.