Berita Kesehatan
Penyebab Abrasi Gigi
Sabtu, 04 Jun 2022 15:33:32

Berbagai kebiasaan yang dapat menyebabkan gesekan pada gigi dapat menyebabkan abrasi gigi atau terkikisnya enamel gigi. Kondisi ini dapat meningkatkan sensitivitas gigi sehingga Anda akan merasa sakit ketika makan makanan yang panas atau dingin. Apa saja penyebab abarasi gigi dan bagaimana cara mengatasi abrasi gigi?


Apa Itu Abrasi Gigi?

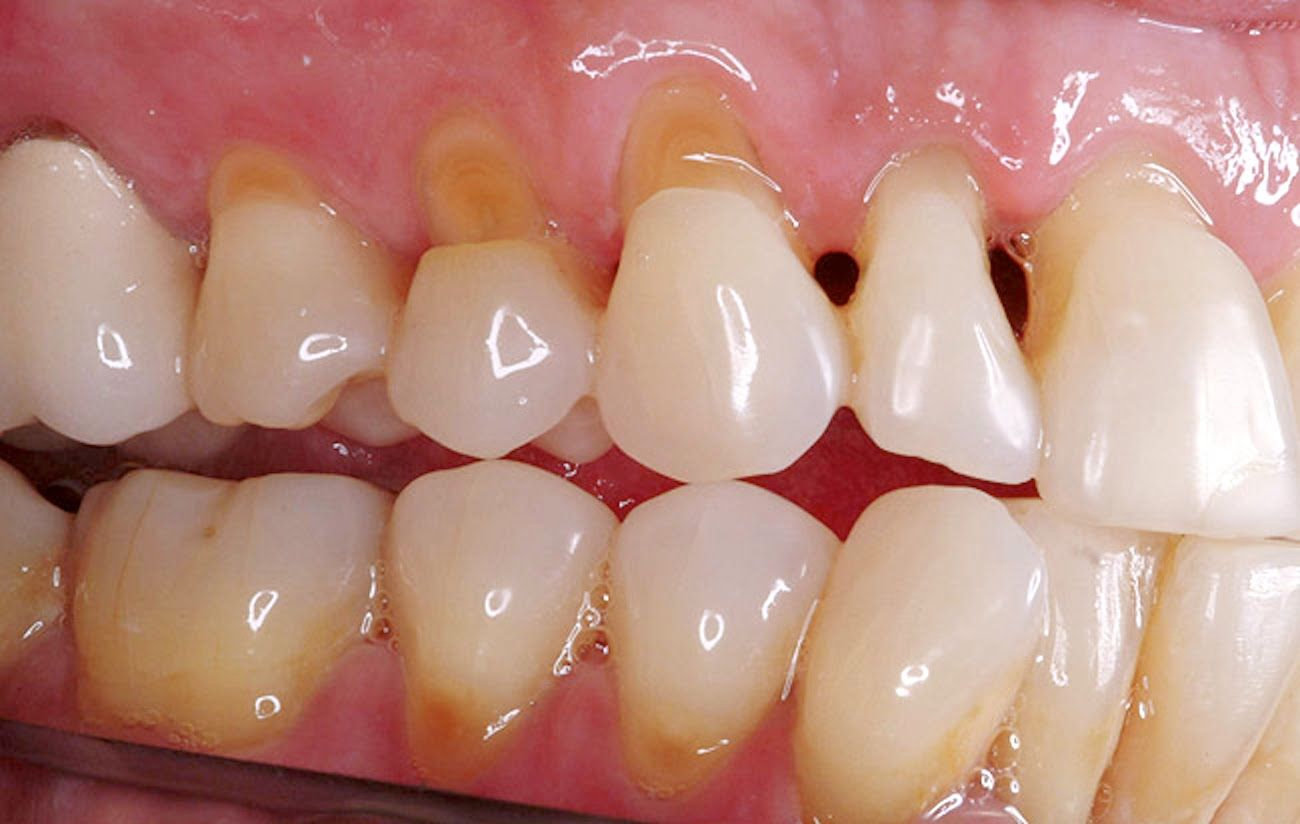
Abrasi gigi adalah hilangnya lapisan (enamel) s gigi akibat dari gesekan pada gigi yang berlebihan atau terus-menerus. Abrasi paling sering ditemukan pada bagian gigi yang paling dekat dengan pipi Anda, atau yang disebut juga dengan buccal side.

Bentuk kerusakan akibat abrasi biasanya berbentuk rata. Sedangkan apabila bentuknya seperti huruf “V”, kemungkinan kerusakan ini disebut dengan abrafraksi. Abrafraksi merupakan hilangnya struktur didi di tempat gigi dan gusi Bersatu.

Penyebab Abrasi Gigi

Terdapat beberapa faktor yang dapat menjadi penyebab abrasi gigi, berikut adalah beberapa di antaranya:

1. Cara Menyikat Gigi yang Salah

Penyebab abrasi gigi yang pertama adalah cara menyikat gigi yang salah.

Menyikat gigi terlalu keras dengan arah horizontal (kedepan dan kebelakang) secara terus menerus dapat menyebabkan abrasi gigi. Menyikat gigi yang paling baik adalah dengan arah vertikal (keatas dan kebawah) atau berputar.

2. Penggunaan Pasta Gigi yang Keras

Penggunaan pasta gigi yang keras juga dapat menjadi penyebab abrasi gigi.

Pasta gigi mengandung bahan tertentu yang juga dapat membuat gigi terkikis. Bagian gigi yang paling banyak terkena abrasi adalah bagian akar gigi. Penelitian menunjukkan bahwa 50% abrasi pasta gigi terjadi dalam 20 detik pertama menyikat gigi.

3. Penggunaan Kawat Gigi

Penggunaan kawat gigi juga dapat berpotensi menjadi penyebab abrasi gigi.

Kawat gigi dapat menekan gigi akan menimbulkan gesekan secara terus menerus, terutama pada saat mengunyah makanan, sehingga dapat abrasi gigi dapat terjadi.

Selain kawat gigi, penggunaan mahkota gigi juga dapat menyebabkan gesekan yang dapat menyebabkan abrasi.

4. Tindik dalam Mulut

Melakukan tindik di sekitar mulut di mana aksesoris dapat bergesekan dengan gigi juga dapat menjadi penyebab abrasi gigi. Gesekan yang berulang antara gigi dan aksesoris tersebut menyebabkan gigi terkikis dan mengalami abrasi.

5. Kebiasan Menggigit Benda Keras

Penyebab abrasi gigi lainnya adalah kebiaasaan menggigit benda keras. Kondisi ini meliputi konsumsi makanan keras terlalu sering atau kebiasaan benda keras seperti pensil, kuku, atau benda lainnya.

6. Bruxism

Bruxism (teeth grinding) merupakan kebiasaan mengasah gigi atas dengan gigi bawah, yang biasa disebut dengan “kerot”.

Biasanya bruxism dilakukan secara tidak sadar saat tidur. Penyebab bruxism belum diketahui secara pasti, namun beberapa penelitian menyebutkan bahwa stres salah satu penyebabnya. Bruxism merupakan kebiasaan yang dilakukan dalam waktu yang lama, sehingga juga dapat menyebabkan abrasi gigi.

7. Gigi Terkikis Asam

Penyebab abrasi yang terakhir adalah paparan asam yang dapat mengikis gigi, ini termasuk ke dalam penyebab yang paling umum. Asam yang dimaksud dapat berasal dari makanan yang mengandung asam yang tinggi atau dapat juga disebabkan karena asam lambung yang naik pada penyakit GERD.

Gejala Abrasi Gigi

Gejala abrasi gigi meliputi:

  • Gigi sensitif (sakit ketika menyikat gigi dan makan yang panas, dingin, asam, atau manis)
  • Gigi lebih rentan terhadap infeksi
  • Perubahan bentuk gigi (terdapat bagian gigi yang tampak terkikis)

Perawatan Abrasi Gigi

Perawatan abrasi gigi bergantung pada tingkat kerusakan gigi yang terjadi atau pada penyebab abrasi gigi. Jika disebabkan oleh kondisi kesehatan tertentu seperti GERD, maka pasien akan dirujuk pada dokter yang ahli dalam bidang ini untuk mengatasi penyebab utama dari abrasi gigi yang terjadi.

Jika peyebabnya adalah makanan, dokter mungkin akan menyarankan Anda untuk mengurangi konsumsi makanan yang kandungan asamnya tinggi.

Cara mengatasi abrasi gigi lainnya adalah dengan perawatan fluoride. Dokter juga mungkin merekomendasikan tambalan gigi apabila terdapat struktur gigi yang hilang akibat abrasi gigi.

Hilangnya struktur gigi ini biasanya terjadi apabila abrasi gigi terjadi pada waktu yang lama dan tidak mendapatkan penanganan dengan baik. Apabila Anda mengalami gejala abrasi gigi, sebaiknya segera periksaan ke dokter gigi untuk mendapatkan perawatan.

Pencegahan Abrasi Gigi

Mencegah tentunya akan lebih baik daripada mengobati. Meskipun abrasi gigi dapat diatasi, Anda sebaiknya melakukan berbagai langkah juga sebagai pencegahan.

Berikut adalah beberapa tips untuk mencegah abrasi gigi:

  • Menggunakan sikat gigi berbulu halus
  • Tanyakan kepada dokter gigi tentang cara menyikat gigi yang benar
  • Hindari menyikat gigi terlalu keras
  • Hindari kebiasaan mengunyah benda keras seperti tusuk gigi, pensil, dan kuku
  • Pastikan peralatan gigi Anda yang dipasang dengan benar dan diperiksakan secara rutin
  • Periksakan gigi Anda secara rutin ke dokter gigi agar masalah pada gigi dapat dideteksi sejak dini.

Seperti yang sudah disebutkan sebelumnya, apabila perawatan abrasi gigi dilakukan sejak dini, maka abrasi kemungkinan tidak akan menyebabkan kerusakan yang fatal pada gigi. Meskipun Anda tidak merasakan gejala apapun pada gigi Anda, pemeriksaan gigi secara rutin tetap harus dilakukan.

Kita disarankan untuk melakukan pemeriksaan gigi setiap 6 bulan sekali untuk mendapatkan gigi yang sehat.