
Pleuritis adalah peradangan yang terjadi pada pleura. Pleura merupakan dua lapis jaringan tipis yang menyelimuti bagian dalam rongga dada serta paru-paru.
Di antara dua jaringan tersebut, terdapat cairan pleura yang berfungsi melumasi lapisan ketika terjadi pergesekan. Ketika jaringan pleura mengalami peradangan, kedua lapisan pleura tidak dapat bergesekan dengan mulus.
Peradangan umumnya disebabkan oleh infeksi. Kondisi tersebut dapat menyebabkan rasa nyeri luar biasa, terutama ketika sedang menarik napas. Rasa sakit juga dapat dirasakan ketika penderita batuk, bersin, atau melakukan gerakan tertentu.
Penyakit ini dapat menular ke orang lain apabila penyebabnya adalah infeksi menular. Pengobatan penyakit ini biasanya berfokus pada penanganan infeksi atau penyebab lain dari peradangan.
Pleuritis adalah kondisi yang cukup umum. Namun, angka kejadiannya terus mengalami penurunan seiring dengan perkembangan dalam dunia medis, terutama setelah pengobatan antibiotik ditemukan.
Penyakit ini lebih banyak terjadi pada pasien berusia lanjut, khususnya yang berumur 65 tahun ke atas. Angka kejadian penyakit ini tidak menunjukkan perbedaan yang signifikan pada penderita berjenis kelamin laki-laki dan perempuan.
Penyakit ini memiliki peluang yang besar untuk disembuhkan dan dapat diatasi dengan mengendalikan faktor-faktor risiko yang ada. Untuk mengetahui informasi lebih lanjut mengenai penyakit ini, Anda dapat berdiskusi dengan dokter.
Gejala utama dari pleuritis adalah rasa sakit tajam, menusuk, serta terjadi terus-menerus di bagian dada. Rasa nyeri dapat terasa di salah satu atau kedua bagian dada, bahu, dan punggung.
Ketika Anda menarik napas, biasanya rasa sakit akan semakin terasa. Meskipun paru-paru tidak memiliki saraf rasa sakit, pleura mengandung banyak sekali ujung saraf-saraf.
Selain itu, Anda juga mungkin akan mengalami gejala sesak napas apabila kondisi ini berkaitan dengan penumpukan cairan pada pleura (efusi pleura).
Dikutip dari Mayo Clinic, berikut adalah tanda-tanda dan gejala yang paling umum terjadi:
Beberapa gejala atau tanda-tanda lainnya mungkin tidak tercantum di atas. Jika Anda merasa cemas tentang gejala tersebut, segera konsultasi ke dokter Anda.
Hubungi dokter bila Anda mengalami:
Tubuh masing-masing penderita menunjukkan tanda-tanda dan gejala yang bervariasi. Untuk mendapatkan penanganan yang paling tepat dan sesuai dengan kondisi kesehatan Anda, periksakan apapun gejala yang Anda rasakan ke dokter atau pusat layanan kesehatan terdekat.
Terdapat dua lapisan membran yang memisahkan paru-paru Anda dan dinding rongga dada. Membran yang melapisi paru disebut dengan pleura dalam, sementara yang terdapat di dinding rongga dada adalah pleura parietal.
Di antara pleura dalam dan parietal, terdapat sedikit cairan yang berfungsi menjadi pelumas. Ketika Anda bernapas dan paru-paru berkontraksi, kedua lapisan pleura akan saling bergesekan secara normal dengan adanya pelumas tersebut.
Namun, apabila terdapat iritasi dan peradangan pada lapisan pleura, gesekan yang terjadi antara dua lapisan tersebut dapat mengakibatkan rasa sakit, terutama saat bernapas.
Peradangan dapat disebabkan oleh infeksi pleura, obat-obatan, atau kondisi medis. Beberapa kondisi atau penyakit yang umumnya menjadi penyebab pleuritis adalah:
Merokok tidak secara langsung berpengaruh pada peradangan pleura. Namun, orang yang menderita penyakit ini sebaiknya menghindari rokok. Hal tersebut dikarenakan rokok sering kali menyebabkan batuk, sehingga rasa sakit pun bertambah parah.
Menghindari dan menghentikan kebiasaan merokok tidak hanya melindungi Anda dari penyakit ini, tetapi juga dapat membantu menjaga kesehatan paru-paru secara keseluruhan.
Pleuritis adalah penyakit peradangan yang dapat terjadi pada hampir setiap orang, terlepas dari berapa pun usia dan apa pun kelompok rasnya. Namun, terdapat beberapa faktor yang dapat meningkatkan risiko seseorang terkena penyakit ini.
Beberapa faktor yang bisa meningkatkan risiko Anda kena pleuritis, antara lain:
Kasus kejadian penyakit ini lebih banyak ditemukan pada orang-orang berusia 65 tahun ke atas. Risiko Anda untuk menderita penyakit ini semakin meningkat seiring dengan bertambahnya usia.
Jika Anda pernah mengalami kecelakaan yang mengakibatkan cedera atau trauma di bagian dada, risiko Anda untuk menderita kondisi ini jauh lebih tinggi.
Selain itu, prosedur operasi atau bedah di bagian dada, seperti operasi jantung, juga berpotensi menyebabkan trauma pada dada, sehingga risiko menderita penyakit ini juga meningkat.
Apabila Anda memiliki masalah atau penyakit yang berkaitan dengan paru-paru, seperti emboli paru, bronkitis, atau kanker paru, peluang Anda untuk mengalami radang pada pleura lebih besar.
Beberapa jenis penyakit, seperti limfoma, rheumatoid arthritis, mesothelioma, atau penyakit jantung, dapat meningkatkan risiko Anda untuk menderita pleuritis.
Pleuritis adalah penyakit yang dapat disembuhkan. Meskipun demikian, terdapat kemungkinan komplikasi akan terjadi apabila penyakit ini tidak segera ditangani.
Penumpukan cairan di rongga pleura berpotensi menyebabkan terjadi infeksi. Selain itu, cairan tersebut kemungkinan dapat mendorong paru-paru, sehingga pernapasan penderita dapat terganggu.
Apabila pleuritis berkaitan dengan cedera atau trauma di rongga dada, kemungkinan hal ini dapat menyebabkan paru-paru bergeser dan udara dapat masuk ke pleura. Kondisi ini disebut dengan pneumotoraks.
Trauma di rongga dada dapat menyebabkan rasa nyeri dan penumpukan darah di rongga pleura. Apabila darah menumpuk terlalu banyak di bagian tersebut, kemungkinan penderita dapat mengalami syok akibat kehilangan banyak darah.
Hemotoraks juga berpotensi mengakibatkan hipoksia atau kondisi kekurangan oksigen pada sel-sel tubuh.
Informasi yang dijabarkan bukan pengganti bagi nasihat medis. SELALU konsultasi ke dokter Anda.
Fokus utama dalam mendiagnosis pleuritis adalah menentukan lokasi serta penyebab dari peradangan dan pembengkakan. Pertama-tama, dokter akan melakukan pemeriksaan fisik serta menanyakan riwayat penyakit yang Anda derita.
Setelah itu, untuk mendapatkan hasil diagnosis yang lebih akurat, dokter akan meminta Anda untuk menjalani salah satu atau beberapa tes di bawah ini:
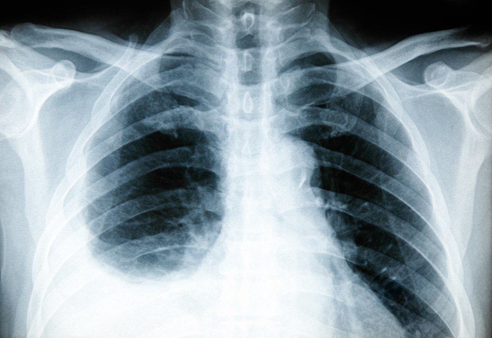
Tes x-ray di bagian dada dapat membantu dokter mengetahui adanya peradangan pada paru-paru Anda. Jenis x-ray yang dilakukan adalah dekubitus, yaitu x-ray yang diambil ketika Anda berbaring dengan posisi miring.
Dengan posisi ini, penumpukan cairan yang terdapat di pleura Anda dapat terlihat secara lebih jelas.
Melalui tes darah, Anda dapat mengetahui apabila terdapat infeksi serta apa yang menjadi penyebabnya.
Selain itu, tes darah juga dapat mendeteksi adanya kelainan atau masalah pada sistem kekebalan tubuh Anda.
Selama prosedur torasentesis, dokter akan memasukkan jarum ke bagian dada Anda. Setelah itu, dokter akan menyedot cairan yang terdapat di paru melalui jarum tersebut. Cairan akan diperiksa di laboratorium untuk mengetahui apakah terjadi infeksi.
Namun, tes ini cukup berisiko, sehingga sangat jarang dilakukan pada kebanyakan kasus pleuritis.
Terkadang, dokter juga akan meminta Anda menjalani tes CT scan untuk mengetahui struktur organ dalam di bagian dada Anda.
Tes CT scan dapat menghasilkan gambar yang lebih jelas dan detail, sehingga dokter dapat melihat jaringan-jaringan paling halus sekali pun di dalam dada Anda.
Tes USG menggunakan gelombang suara untuk menghasilkan gambar bagian dalam rongga dada Anda. Melalui tes ini, dokter dapat mengetahui adanya penumpukan cairan atau peradangan.
Biopsi pleura berguna untuk menentukan penyebab dari pleuritis. Selama prosedur ini, dokter akan memasukkan jarum kecil di dada Anda. Kemudian, sedikit sampel jaringan dari pleura Anda akan diambil dengan jarum tersebut.
Jaringan tersebut nantinya akan diperiksa di laboratorium untuk mengecek adanya infeksi, kanker, atau tuberkulosis (TBC).
Selama prosedur torakoskopi berjalan, dokter akan memasukkan tabung dengan kamera melalui sayatan di dada Anda. Kamera tersebut bertujuan untuk mengetahui area dada yang terinfeksi.
Pengobatan yang diberikan untuk pasien pleuritis berfokus pada penyebab utamanya. Jika penyebab utamanya adalah infeksi bakteri, seperti pneumonia atau tuberkulosis, antibiotik akan diberikan untuk melawan infeksi bakteri.
Apabila penyebabnya adalah infeksi virus, peradangan akan hilang dengan sendirinya. Sesak napas yang terkait dengan peradangan bisa ditangani dengan obat penghilang rasa sakit, seperti obat anti inflamasi nonsteroid (NSAID). Ibuprofen juga sering digunakan untuk mengatasi nyeri.
Bila NSAID tidak manjur atau tidak cocok, Anda mungkin diberikan obat penghilang rasa sakit lainnya, misalnya paracetamol atau codeine.
Berbaring menyamping di sisi dada yang sakit mungkin bisa membantu mengurangi rasa sakit.
Hasil pengobatan tergantung pada keparahan penyakit. Bila kondisi penyebab peradangan terdiagnosis dan terobati dengan cepat, pemulihan seutuhnya sering terjadi.