
Menjaga kebersihan gigi dan mulut merupakan hal yang wajib dilakukan. Pasalnya, gigi dan mulut merupakan “gerbang utama” masuknya kuman penyebab penyakit ke dalam tubuh. Sayangnya, kesadaran untuk menjaga serta merawat kesehatan gigi dan mulut masih sangat rendah. Kebanyakan orang baru datang ke dokter gigi saat sudah ada masalah atau mengalami sakit gigi.
Salah satu jenis sakit gigi yang paling sering menyerang dan sering dianggap sepele adalah karang gigi. Padahal, karang gigi adalah jenis masalah gigi dan mulut yang jika didiamkan tanpa penanganan, bisa memicu kondisi yang lebih parah. Lantas, apa yang akan terjadi jika karang gigi tidak dihilangkan dan dibiarkan menumpuk pada rongga mulut dan gigi?
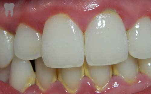
Sebelumnya perlu diketahui, karang gigi merupakan penumpukan plak yang terbentuk dari sisa-sisa makanan yang mengandung bakteri dan menempel pada gigi dalam jangka waktu lama, akhirnya mengeras lalu membentuk karang gigi. Umumnya, sisa makanan yang menempel di gigi membutuhkan waktu beberapa hari sebelum akhirnya mengeras dan membentuk karang. Kecepatan pembentukan karang gigi bisa berbeda antara satu orang dengan yang lainnya, tergantung kadar pH air liur.
Pembentukan plak gigi pada orang yang memiliki kadar pH air liur tinggi, yaitu di atas 7, biasanya akan terjadi lebih cepat. Maka dari itu, orang yang memiliki kadar pH air liur tinggi atau bersifat basa harus lebih teratur dan berhati-hati dalam menjaga kebersihan gigi. Gigi dan mulut yang penuh karang gigi tidak hanya mengganggu kesehatan secara keseluruhan, tapi juga bisa mengganggu penampilan dan menurunkan tingkat percaya diri.
Karang gigi adalah kondisi yang bisa terjadi pada siapa saja, tapi biasanya lebih banyak ditemukan pada anak-anak. Umumnya, karang gigi terbentuk di atas atau di garis gusi. Karena itu, sikat gigi saja tidak akan bisa membersihkan karang gigi. Kamu harus pergi ke dokter gigi untuk melakukan perawatan dan mengatasi masalah karang gigi.
Munculnya karang gigi sering dianggap sepele dan baru akan dibersihkan jika sudah terjadi pembengkakan atau gangguan lain. Karang gigi yang tidak dihilangkan atau dibersihkan bisa menyebabkan peradangan pada gusi alias gingivitis. Saat gusi mengalami peradangan, bagian tersebut akan mudah berdarah, bahkan tanpa sebab dan terjadi secara tiba-tiba.
Jika masih tidak ditangani, gingivitis pada akhirnya akan berlanjut ke periodontitis. Pada kondisi ini, peradangan yang terjadi sudah menyebar ke bagian tulang alveolar gigi. Periodontitis bisa menyebabkan gigi menjadi goyang dan tanggal dengan sendirinya.
Kondisi ini juga disebut-sebut berkaitan dengan penyakit anemia. Maka dari itu, menghilangkan karang gigi harus segera dilakukan untuk menghindari serangan pada bagian tubuh selain gigi dan mulut.
Karang gigi yang dibiarkan menumpuk juga bisa menyebabkan terjadinya bau mulut dan perubahan warna gigi. Kondisi ini bisa menyebabkan pengidapnya mengalami penurunan rasa percaya diri dan rasa tidak nyaman akibat kondisi gigi dan mulut yang tidak segar. Maka dari itu, melakukan pemeriksaan gigi rutin dan menghilangkan karang gigi yang menempel adalah hal yang penting.