
Gigi ompong menjadi salah satu masalah kesehatan gigi dan mulut yang banyak dialami oleh masyarakat Indonesia, khususnya yang sudah lanjut usia. Sebenarnya gigi ompong bisa terjadi di usia berapa saja. Tetapi, gigi ompong rentan terjadi pada usia 45 - 60 tahun. Namun, kamu tidak perlu khawatir karena ada cara yang bisa dilakukan untuk mencegah gigi ompong.
Pada orang yang sudah lanjut usia, gigi bisa saja copot sendiri tanpa ada pemicunya. Biasanya hal ini terjadi karena penuaan alami yang membuat tulang dan jaringan di sekitar gigi mengalami penipisan secara terus menerus, sehingga tulang tidak kuat lagi dan terlepas sendiri atau harus dicabut.
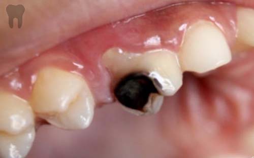
Penyebab gigi ompong lainnya adalah gigi yang dibiarkan berlubang tanpa penanganan atau karena gusi dan jaringan sekitar giginya terinfeksi yang disebabkan oleh penyakit periodontal yang sangat parah sehingga harus dicabut. Gigi yang kurang bersih, mengidap diabetes, kebiasaan merokok, kebiasaan mengonsumsi alkohol, serta trauma kepala akibat kecelakaan bermotor bisa juga bisa menyebabkan gigi ompong.
Gigi ompong bukan hanya mengganggu penampilan, melainkan juga bisa memengaruhi kondisi psikologis dan kesehatan gigi dan mulut. Dampak gigi ompong lainnya antara lain memengaruhi pertumbuhan gigi, mengganggu proses mengunyah, mengganggu proses pencernaan, mengubah susunan gigi, serta mengganggu proses berbicara karena adanya perubahan susunan dan bentuk mulut.
Berikut ini tips mencegah gigi ompong yang bisa dilakukan sejak usia muda:
Bila sudah terlanjur mengalami masalah gigi dan gusi, sebaiknya segera tangani masalah tersebut sampai benar-benar sembuh. Bila kamu membiarkan gigi terus berlubang, risiko gigi kamu harus dicabut semakin besar. Semoga tips mencegah gigi ompong di atas bisa membantu kamu memiliki gigi yang sehat dan terhindar dari masalah gigi yang serius.