
Dental Bridge adalah salah satu jenis metode untuk memperbaikan gigi yang umum digunakan saat ini. Sesuai namanya, Dental Bridge digunakan sebagai jembatan yang mengisi kekosongan dari gigi yang hilang. Jembatan ini ditopang oleh gigi alami atau gigi palsu.
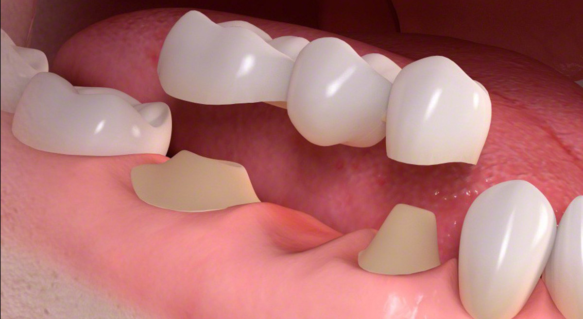
Dental Bridge terdiri atas dua buah mahkota (cetakan sesuai dengan bentuk gigi) yang dipasang pada kawat besi dan diletakkan pada kedua gigi pada ujung-ujung kekosongan. Kedua gigi yang digunakan sebagai penopang Dental Bridge disebut sebagai “gigi perbatasan.” Jembatan tersebut kemudian dipasang gigi palsu yang disebut sebagai pontics. Gigi palsu tersebut dapat terbuat dari porselen, emas, logam, atau campuran dari material-material tersebut.
Terdapat tiga jenis Dental Bridge yang umum digunakan:
1. Dental Bridge Tradisional - jenis Dental Bridge yang paling umum dipakai dan umumnya terbuat dari keramik atau porselen dengan campuran logam. Dengan Dental Bridge tradisional, sebuah mahkota digunakan dan dipasang pada kedua ujung jarak antara gigi yang hilang, dan pontic dipasang diantaranya.
2. Dental Bridge Cantilever (Baca: Kantilever) – Dental Bridge ini digunakan apabila hanya ingin menggantikan satu gigi, biasanya gigi yang terdapat pada ujung belakang dari mulut. Dental Bridge cantilever hanya digunakan ketika hanya terdapat satu gigi yang dapat digunakan sebagai penopang sehingga jarang digunakan dengan harga yang cukup mahal.
3. Dental Bridge Berperekat Damar – Dental Bridge dengan bahan perekat dari damar (resin) atau umum disebut sebagai Maryland bonded bridges menggunakan kerangka logam atau porselen, kemudian ditopang oleh gigi dan gusi yang terbuat dari campuran porselen dengan logam, keramik, atau plastik. Jenis Dental Bridge yang akan dipasang akan sangat bergantung pada kondisi dari gigi yang tersisa dan lokasi pemasangan.

Dental Bridge adalah solusi ekonomis untuk mengembalikan gigi dan memberikan efek estetik dan kesehatan. Keuntungan dari Dental Bridge antara lain:
1. Mengembalikan bentuk fisik gigi seperti semula
2. Memberikan senyuman yang lebih menawan
3. Mengembalikan kemampuan untuk berbicara dan mengunyah
4. Mempertahankan bentuk wajar dari wajah
5. Mendistribusikan tekanan pada saat mengunyah untuk menghindari masalah rahang dan sakit kepala
6. Melindungi gigi yang tersisa agar tidak bergeser dari posisi aslinya
Apabila secara sengaja atau tidak sengaja, gigi permanen bagian depan atau belakang Anda hilang atau rusak, penting bagi Anda untuk segera menemui dokter gigi untuk berkonsultasi. Pemasangan Dental Bridge pada umumnya disarankan karena memiliki tampilan yang lebih natural dan lebih nyaman daripada gigi palsu maupun implantasi gigi. Jarak kosong antar gigi yang ditinggalkan oleh gigi yang hilang dapat menyebabkan banyak masalah. Tidak hanya pada penampilan, tetapi lokasi tersebut dapat memberikan beban lebih pada gigi-gigi di sebelahnya. Selain itu, kekosongan tersebut dapat menyebabkan pengunyahan yang tidak normal, sehingga dapat menyebabkan kerusakan pada gigi dan penyakit gusi.
Implantasi atau penanaman gigi adalah solusi popular lain untuk mengatasi gigi yang hilang. Melalui pilihan ini, gigi palsu akan ditanamkan dengan teknik bedah ke rahang untuk menggantikan gigi yang natural. Gigi palsu yang ditanamkan tidak memiliki akar alami, tetapi menggunakan kerangka besi untuk memastikan gigi tersebut tetap pada tempatnya. Dental Bridge memberikan beberapa keuntungan dibandingkan prosedur ini, diantaranya:
a. Dental Bridge adalah solusi yang lebih murah
b. Dental Bridge tidak membutuhkan pembedahan, lebih tidak memberikan rasa sakit dan dapat diselesaikan dalam 2-3 kali kunjungan
c. Dental Bridge dapat digunakan bahkan pada kerusakan rahang yang parah
Namun, Dental Bridge memerlukan keberadaan gigi lain yang dapat menopang dan cukup kuat untuk mempertahankan gigi palsu tetap pada tempatnya.
Gigi palsu adalah cara tradisional menggantikan gigi yang hilang dengan gigi dan gusi palsu yang Gigi palsu harus dilepaskan dan dibersihkan secara rutin untuk menghindari infeksi dan masalah pada gusi
a. Gigi palsu seringkali menyebabkan masalah seperti pemasangan yang tidak tepat atau kurang nyaman, sehingga dapat menyebabkan masalah pada saat mengunyah dan rasa sakit
b. Gigi palsu adalah pilihan yang lebih murah dibandingkan Dental Bridge
Pemasangan Dental Bridge pada umumnya memerlukan paling sedikit dua kunjungan ke dokter gigi. Setelah menyetujui pemasangan Dental Bridge, dokter gigi kemudian akan mempersiapkan gigi palsu dan lokasi pemasangan Dental Bridge. Persiapan ini mungkin memerlukan perubahan kontur atau bentuk dari gigi untuk memastikan adanya ruangan yang cukup untuk Dental Bridge. Dokter gigi kemudian akan membuat cetakan gigi yang digunakan untuk membuat gigi pontic, jembatan, dan mahkota gigi. Prosedur ini akan memakan waktu yang beragam, tergantung dari laboratorium yang membuat gigi tersebut. Dalam mengatasi hal tersebut, Dental Bridge sementara akan dipasangkan.
Pada kunjungan kedua, Dental Bridge sementara akan digantikan dengan Dental Bridge permanen dan diatur untuk memastikan pemasangan yang sempurna. Kunjungan lanjutan mungkin dibutuhkan untuk memastikan Dental Bridge terpasang dengan kuat pada tempatnya.
Dental Bridge dapat bertahan selama lima sampai lima belas tahun, atau bahkan lebih apabila dilakukan perawatan yang baik. Untungnya, Dental Bridge lebih mudah dirawat dibandingkan gigi palsu. Pembersihan harian dengan tepat pada Dental Bridge dibutuhkan untuk menghindari masalah pada gigi dan gusi. Perawatan pada gigi di sekitarnya juga penting untuk memastikan Dental Bridge tetap pada tempatnya. Dokter gigi Anda akan mengajarkan Anda cara menyikat gigi yang tepat dan menyarankan penggunaan jarum atau benang khusus Dental Bridge untuk membersihkan daerah-daerah yang sulit dijangkau.
Referensi:
1. Dental Care Association. “Dental Bridges” Dapat diakses dari: http://www.dentalcareassociation.com/dental-bridges
2. International Dental Health Foundation. “Cosmetic Dentistry: Bridges and Partial Dentures.” Dapat diakses dari: http://www.dentalhealth.org/tell-me-about/topic/cosmetic-dentistry/bridges-and-partial-dentures