
Rontgen adalah tindakan menggunakan radiasi untuk mengambil gambar bagian dalam dari tubuh seseorang. Utamanya, rontgen digunakan untuk mendiagnosa masalah kesehatan dan yang lainnya untuk pemantauan kondisi kesehatan yang ada. Terdapat berbagai jenis rontgen, masing-masing dengan kegunaan yang spesifik.
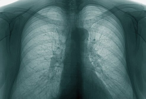
Sinar-X bekerja dengan memindahkan radiasi frekuensi tinggi ke seluruh tubuh. Sinar kemudian ditangkap pada gambar, dengan bagian-bagian tubuh yang berbeda menjadi terlihat karena perbedaan warna pada gambar. Perbedaan warna ini didasarkan pada kepadatan bagian tubuh seseorang, yaitu, sinar-X menunjukkan tulang sebagai gambar putih dan menunjukkan paru-paru sebagai gambar yang lebih gelap.
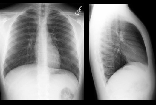
Sebuah rontgen pada dada, mengambil gambar dari jantung, paru, pembuluh darah, saluran pernafasan, dan kelenjar getah bening di daerah ini. Tulang dada, tulang rusuk, dan tulang selangka juga masuk dalam gambar. Gambar ini juga menunjukkan bagian atas tulang belakang. Rontgen dada digunakan untuk mendiagnosis masalah kesehatan yang menimbulkan gejala di daerah dada seperti masalah paru dan pernafasan serta gangguan jantung. Pada kebanyakan kasus, rontgen dada melibatkan dua gambar, yaitu gambar yang diambil dari belakang, dan satu lagi diambil dari samping.
Sebuah rontgen tulang belakang yang mengambil gambar tulang belakang dan membantu dalam menemukan penyakit dan cedera yang mengenai tulang belakang, sendi, serta diskusnya (cakram atau bantalan antar tulang). Beberapa contoh masalah kesehatan yang terdiagnosis dengan sinar-x tulang belakang adalah patah di tulang belakang, dislokasi (pergeseran), masalah pada diskus, infeksi, dan tumor, dan beberapa lainnya. Rontgen tulang belakang paling sering digunakan untuk mendiagnosis masalah yang berhubungan dengan tulang belakang seperti skoliosis (kelainan bentuk tulang belakang) atau spina bifida (cacat tabung saraf). Terdapat beberapa subtipe rontgen tulang belakang tergantung pada bagian tertentu dari tulang belakang. Pasien mungkin memerlukan rontgen pada leher, toraks (dada), sakrum atau tulang ekor, atau lumbosakral.
Merupakan rontgen yang mengacu pada anggota gerak, yaitu tangan, pergelangan tangan, kaki, lutut, tungkai, pergelangan kaki, dan pinggul. Rontgen anggota gerak ini biasanya diperlukan untuk menemukan dan memeriksa cedera serta penyakit seperti patah tulang dan pergeseran. Beberapa contoh kondisi yang mempengaruhi ekstremitas (anggota tubuh bagian bawah) dan mungkin memerlukan rontgen antara lain adalah tumor, osteoporosis (keropos tulang), dan radang sendi.

Rontgen dilakukan oleh spesialis terlatih yang sangat berpengalaman dan terampil dalam menggunakan teknologi pencitraan dan menerjemahkan hasilnya. Dokter umum sering merujuk pasien ke spesialis tersebut, dan kemudian spesialis tersebut melaporkan hasilnya kembali kepada dokter umum.
Ketika dilakukan rontgen, tindakan akan tergantung pada bagian tubuh mana yang akan dilakukan pemindaian. Anda mungkin diminta untuk berdiri tegak pada permukaan yang datar atau berbaring di atas meja. Setelah Anda siap, piringan fotografi akan ditempatkan pada bagian tertentu dari tubuh yang perlu dipindai. Dalam sepersekian detik, Anda akan diminta untuk tetap diam dan piringan fotografi akan mengambil gambar sinar-x, mengirimkan ke komputer, dan kemudian dicetak. Melakukan rontgen ini sangat aman dan tidak menimbulkan rasa sakit. Namun, ada beberapa orang yang harus menghindari sinar-x. Orang-orang tersebut termasuk Bayi dan anak-anak & Wanita hamil
Alasan utama mengapa anak-anak dan wanita hamil harus menghindari sinar-x adalah karena mereka harus menghindari paparan radiasi. Bahaya yang mungkin terjadi, meskipun minimal, masih harus dipertimbangkan karena ini mungkin memiliki efek pada kesehatan anak-anak dan bayi yang belum lahir.
Radiografi mengacu pada bidang kedokteran yang berfokus pada menangkap dan menganalisis gambar dari bagian dalam tubuh seseorang. Ahli perawatan kesehatan profesional yang terlatih khusus dalam mengambil dan membaca rontgen disebut ahli radiologi atau DOs, yang mewakili mesin osteopathic. Profesional kesehatan ini dilatih dengan baik dan bersertifikat sebelum menjadi ahli radiologi bersertifikat.
Ini adalah saatnya Anda untuk menemui ahli radiologi jika Anda merasakan gejala yang tidak jelas yang mempengaruhi bagian-bagian tertentu dari tubuh Anda. Anda juga dapat menemui seorang dokter umum, yang dapat merujuk Anda ke ahli radiologi yang tepat.